
Holistic 32.
Lokalizacja
Ladowanie mapy...
Icchaka Lejba Pereca 22, 53-443 Wrocław, Polska
O firmie
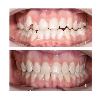
Holistic 32 to specjalistyczna klinika ortodontyczna we Wrocławiu, zlokalizowana przy ul. Icchaka Lejba Pereca 22 (53-443). Z wysoką oceną 4.8/5 w Google na podstawie 123 opinii, miejsce to zyskało uznanie pacjentów szukających profesjonalnej opieki stomatologicznej. Klinika skupia się na ortodoncji, oferując leczenie aparatami stałymi, nakładkami Invisalign, a także zabiegi chirurgiczne, takie jak usuwanie ósemek czy implanty, oraz higienizację. Pacjenci w recenzjach podkreślają kompetencje zespołu lekarzy, w tym dr Kamilę Jasinowską, cenioną za precyzyjne zabiegi chirurgiczne i indywidualne podejście, oraz dr. Arkadiusza Orzechowskiego, który prowadzi skuteczne terapie ortodontyczne nawet w skomplikowanych przypadkach. Wizyty opisują jako komfortowe i bezbolesne, z dokładnymi wyjaśnieniami etapów leczenia oraz troską po zabiegu, np. poprzez kontakt z pacjentem. Recepcja i personel pomocniczy, jak higienista Wojtek czy Karina, dbają o płynną organizację i przyjazną atmosferę. W Holistic 32 pacjenci doceniają nowoczesny sprzęt, wysoki standard higieny oraz kompleksową opiekę dla całych rodzin. To miejsce, gdzie leczenie łączy profesjonalizm z życzliwością, co potwierdza wiele pozytywnych doświadczeń z wieloletnią współpracą. (198 słów)
Co mowia klienci
“Klinika Holistic32 zbiera znakomite opinie za profesjonalizm lekarzy i bezbolesne zabiegi stomatologiczne. Pacjenci chwalą przyjazną atmosferę, indywidualne podejście oraz skuteczne leczenie ortodontyczne i chirurgiczne. Jedyna krytyka dotyczy reakcji na wystawioną opinię.”
Mocne strony
- Profesjonalizm lekarzy, zwłaszcza dr Kamili Jasinowskiej i dr Arkadiusza Orzechowskiego
- Bezbolesne zabiegi bez komplikacji, w tym usuwanie ósemek i implanty
- Przyjazna atmosfera i indywidualne podejście do pacjenta
- Skuteczne leczenie ortodontyczne (aparaty, Invisalign)
- Wysoki standard higieny i nowoczesny sprzęt
Do poprawy
- Nieprofesjonalna reakcja recepcji/menedżera na krytyczną opinię
Idealne dla
Dla pacjentów szukających ortodoncji, chirurgii stomatologicznej i implantów we Wrocławiu.
Kategorie
Podobne firmy w okolicy

Orto Face - Ortodonta Wrocław
M-dent Magdalena Nadolna-Karpińska

mf.dent STOMATOLOGIA - ortodoncja, Invisalign, protetyka, endodoncja, stomatologia

Prime Dental

Centrum Ortodontyczne OrthoLine Patrycja Downarowicz

Ortodonta OrthoTeam Stomatologia Warmuz - Implanty zębowe
Inne firmy w okolicy

KOLBUILD Remonty i Wykończenia Wnętrz Wrocław

Gabinet Podologiczny MEDICA
Pepe Le’ Wąs - Barber Wrocław

PP Design - Oświetlenie , Lampy, Szynoprzewody , Spoty, Taśmy Led ,Żarówki
Cukiernia Spychała
Cool Room klimatyzacje

Bielecka Halina, dr nauk med. neurolog

Dawcy Zdrowia Centrum Rehabilitacji

PROMENA SP. Z O.O.

Kwiaciarnia Bławatek ania sztraube

Lody Naturalne na Ryneczku

Rise360

Archon® Dom Pogrzebowy - Wrocław Krzyki

MIKRON Sp. z o.o. - Zabezpieczenia Techniczne
Piekarnia Lwowska

GABINET KROPKA

Dietetyk kliniczny Wrocław Dominika Janiszewska

STAN-MIT Sp. z o. o.

Praktident Wrocław | stomatolog Wrocław | implantologia, medycyna estetyczna, protetyka, ortodoncja, leczenie kanałowe

Beautique medycyna estetyczna we Wrocławiu